КЛІНІЧНІ ОСОБЛИВОСТІ ІМУНОГІСТОХІМІЧНОЇ ДІАГНОСТИКИ САРКОМ ТА ФІЛОЇДНИХ ПУХЛИН ГРУДНОЇ ЗАЛОЗИ
DOI:
https://doi.org/10.11603/24116-4944.2017.2.8036Ключові слова:
саркоми грудної залози, філоїдні пухлини, імуногістохімічна діагностика.Анотація
Мета дослідження – вивчення імуногістохімічних особливостей сарком та філоїдних пухлин грудної залози.
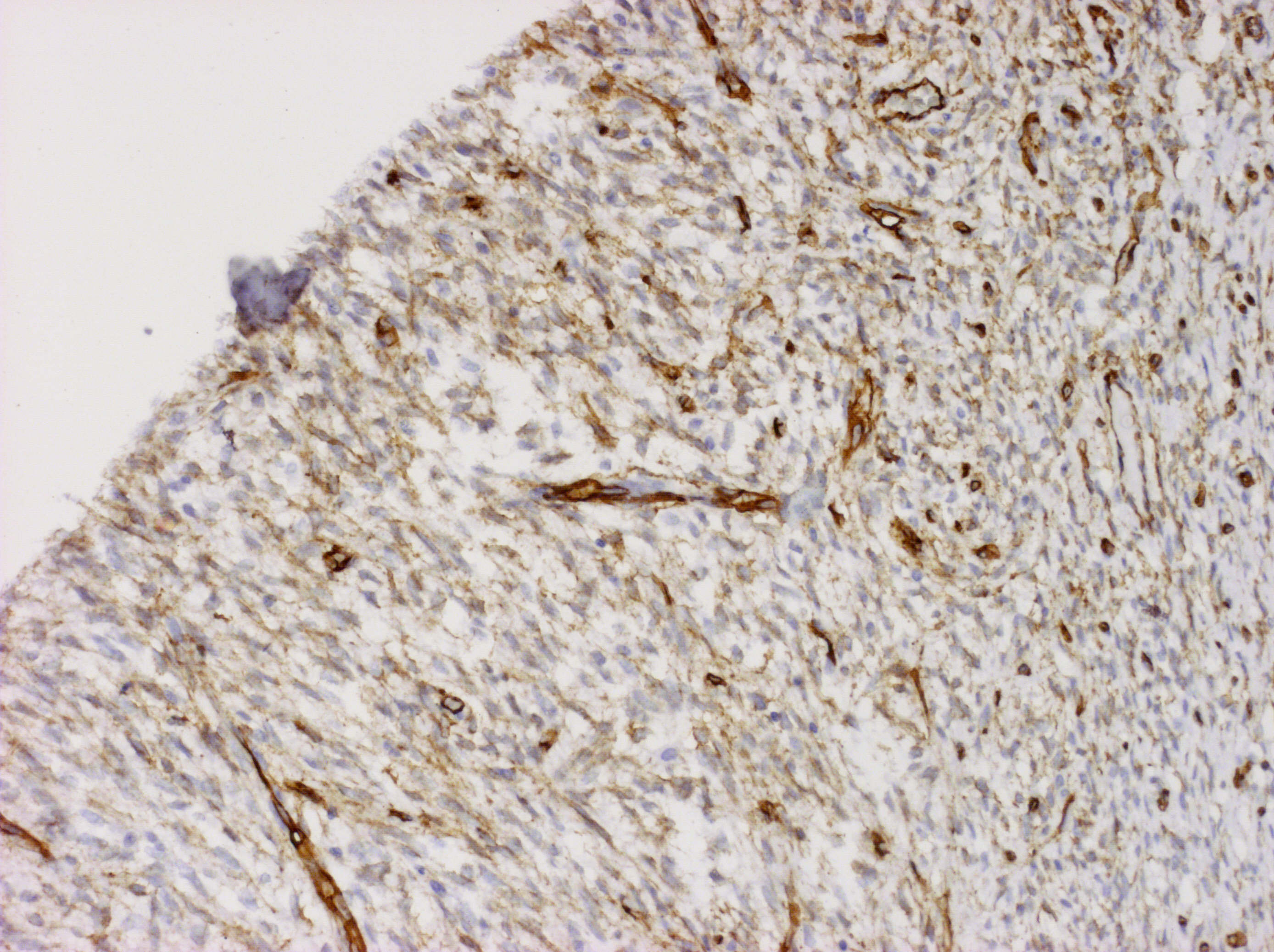
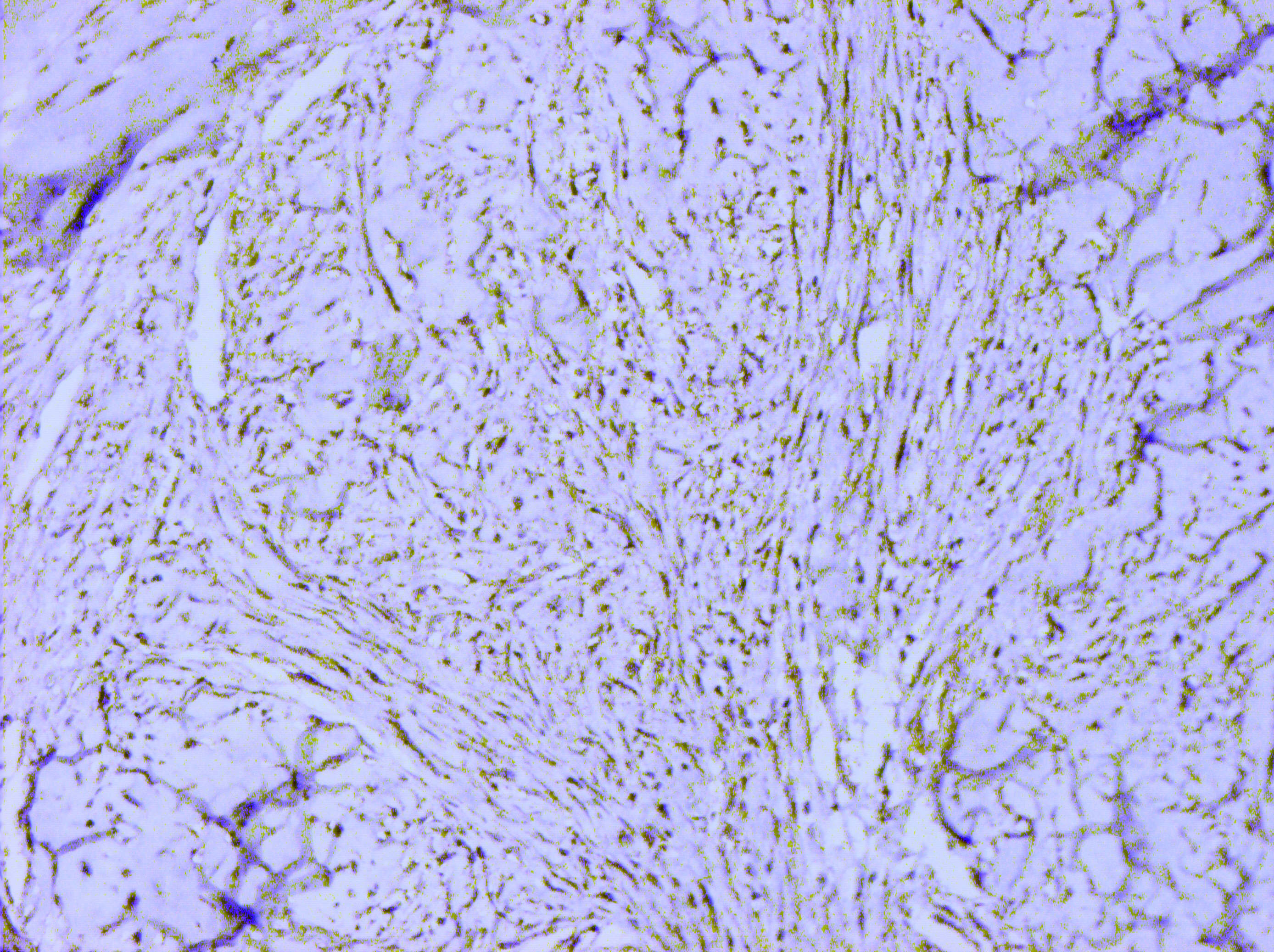
Матеріали та методи. Для ІГХ-дослідження було відібрано 60 парафінових блоків пухлин, у яких гістологічно було верифіковано діагноз саркоми (42) та філоїдної пухлини (18). ІГХ-дослідження проводили з використанням спектра відповідних антитіл, який включав маркери панцитокератинів (клон AE1/AE3); ERG (клон EP111); SOX-10 (клон EP268); TLE1 (клон 1F5); кальдесмону (клон h-CD); міогеніну (Myf-4) (клон F5D); MyoD1 (клон EP212); десміну (клон D33); MDM2 (клон 1B10); CDK4 (клон EP180); CD68 (клон PG-M1); CD34 (клон QBEnd 10); CD31 (клон JC70A); бета-катеніну (клон betaCatenin-1); гладеньком’язового актину альфа (клон 1A4); актину (клон HHF35); епітеліального мембранного антигену (EMA, MUC1) (клон E29). Також визначали рівень експресії маркера проліферації Ki-67 (клон MIB-1). Дослідження проводили в лабораторії CSD Health Care, м. Київ.
Результати дослідження та їх обговорення. Після проведених імуногістохімічних досліджень виявилось, що із 12 сарком без уточненого гістотипу в 9 випадках були плеоморфні саркоми, у 2-х – міофібробластні саркоми, та одна остеосаркома. Із 27 блоків ангіосарком імуногістохімічно було підтверджено 17 (63,0 %), інші 10 (37,0 %) виявились карциномами. Фібросаркоми (три гістологічні блоки) були повністю підтверджені імуногістохімічно. Серед 18 гістологічних блоків філоїдних пухлин проміжного типу у двох випадках (11,1 %) було встановлено злоякісний варіант ФП.
Висновки. Імуногістохімічні дослідження відіграють важливу роль у диференційній діагностиці і визначенні гістотипу СГЗ та встановленні точного діагнозу при ФП. Запропоновано діагностичний алгоритм, що включає необхідні ІГХ-маркери в якості базовової панелі для ІГХ-дослідження, як у випадку СГЗ, так і при злоякісних ФП.
Посилання
Lim, S.Z., Ong, K.W., Tan, B.K., Selvarajan, S., & Tan, P.H. (2016). Sarcoma of the breast: an update on a rare entity. Journal of Clinical Pathology, 1, 1-9. https://doi.org/10.1136/jclinpath-2015-203545.
Al-Benna, S., Poggemann, K., Steinau, H.U., & Steinstrasser, L. (2010). Diagnosis and management of primary breast sarcoma. Breast Cancer Res. Treat., 122 (3), 619-626. DOI:10.1007/s10549-010-0915-y.
Zhou, S-A, Wei, H, & Ding, K. (2009). A rare case of metachronous bilateral angiosarcoma of the breast. Breast Care (Basel), 4, (6), 405-407. https://doi.org/10.1159/000261506.
Halls S. (2017). Breast angiosarcoma. Moose and Doc Breast cancer. Retrived from: http://breast-cancer.ca/angiomas/.
Grigoruk, O.G., Bogatyrev, V.N., Lazarev, A.F., Sokolova, V.K., Frolova, T.S., & Bazulina, L.M. (2005). Tsitologicheskaya diagnostika listovidnikh opukholey i sarkom molochnoy zhelezy [Cytological diagnosis of phylloides tumors and breast sarcomas]. Mammologiya – Mammology, 1, 23-28 [in Russian].
Zhou, Z-R, Wang, C-C, Yang, Z-Z, Yu, X-L, & Guo, X-M. (2016). Phyllodes tumors of the breast: diagnosis, treatment and prognostic factors related to recurrence. J. Thorac. Dis., 8, (11), 3361-3368. https://doi.org/10.21037/jtd.2016.11.03.
Telli, M.L., Horst, K.C., Guardino, A.E., Dirbas, F.M., & Carlson, R.W. (2007). Phyllodes tumors of the breast: natural history, diagnosis, and treatment. J. Nat. Compr. Cancer Netw., 5, 324-330. https://doi.org/10.6004/jnccn.2007.0027.
Vorotnikov, I.K., Bogatyrev, V.N., & Korzhenkova, G.P. (2006). Listovidnye opukholi i sarkomy molochnykh zhelez: klinika, diagnostika, lechenie [Phylloides tumors and breast sarcomas: clinic, diagnostic and treatment]. Mammologiya – Mammology, 1, 29-34 [in Russian].
Ray-Coquard, I., Thiesse, P., Ranchere-Vince, D., Chauvin,F., Bobin, J.-Y., & Sunyach, M.-P. (2004). Conformity to clinical practice guidelines, multidisciplinary management and outcome of treatment for soft tissue sarcomas. Ann. Oncol., 15, 307-315 DOI: 10.1093/annonc/mdh058.
Ray-Coquard, I., Montesco, M.C., Coindre, J.M., Dei Tos, A.P., Lurkin, A., Ranchère-Vince, D. et al. (2012). Sarcoma:concordance between initial diagnosis and centralized expert review in a population-based study within three European regions. Ann. Oncol., 23 (9), 2442-2449 DOI: 10.1093/annonc/mdr610.
Lurkin, A., Ducimetiere, F., Vince, D.R., Decouvelaere, A-V., Cellier, D., Gilly, F.N. et al. (2010). Epidemiological evaluation of concordance between initial diagnosis and central pathology review in a comprehensive and prospective series of sarcoma patients in the Rhone-Alpes region. BioMed. Central J., 10, 150. Retrieved from: https://bmccancer.biomedcentral. com/articles/10.1186/1471-2407-10-150 https://doi.
org/10.1186/1471-2407-10-150.
Ducimetiere, F., Lurkin, A., Vince, D.R., Decouvelaere, A-V., Peoc’h, M., Istier, L. et al. (2011). Incidence of sarcoma histotypes and molecular subtypes in a prospective epidemiological study with central pathology review and molecular testing. PLoS ONE, 6 (8). Retrieved from: http://journals.plos.org/plosone/article?id=10.1371/journal.pone.0020294. https://doi.org/10.1371/journal.pone.0020294.
Ryabchikov, D.A., Vorotnikov, I.K., Chkhikvadze, N.V., Mironova, E.E., Rodionova, M.V., & Mkrtchyan, V.A. (2014). Sarkomy molochnoy zhelezy. Obzor literatury [Sarcomas of the breast. Review of the literature]. Mammologiya – Mammology, 2, 12-15 [in Russian].
Putyrskiy, Yu.L., Putyrskiy, L.A., Kozlovskaya, N.A., Ilkevich, A.G., Kiselyov, O.G., & Vasilevskiy, A.V. (2010).
Sarkoma molochnoy zhelezy v Belarusi [Breast Sarcoma in Belarus]. Meditsinskiy zhurnal – Medical Journal, 2 (32), 88-91 [in Russian].
Blaker, K.M., Sahoo, S., Schweichler, M.R., & Chagpar, A.B. (2010). Malignant phylloides tumor in pregnancy.
Am. Surg., 76 (3), 302-305. https://www.ncbi.nlm.nih.gov/pubmed/20349661.
Pasta, V., Amabile, M.I., Bizzari, M., & Monti, M. (2012). Breast sarcoma in a pregnant patient. A case report. Ann. Ital. Chir. Retrieved from: http://www.annaliitalianidichirurgia.it/PDF/ONLINE/28_09_2012.pdf.
Warrier, S., Hwang, Y.S., Gibbings, K., Carmalt, H., & O’Toole, S. (2015). Phyllodes tumour with heterologous sarcomatous differentiation: Case series with literature review. Int. J. Surg. Case Rep., 11, 91-94. DOI: http://dx.doi.org/10.1016/j.ijscr.2015.02.009.
Wiratkapun,C., Piyapan, P., Lertsithichai, P., & Larbcharoensub, N. (2014). Fibroadenoma versus phyllodes tumor: distinguishing factors in patients diagnosed with fibroepithelial lesions after a core needle biopsy. Diagn. Interv. Radiol., 20, (1), 27-33. DOI:10.5152/dir.2013.13133 http://www.dirjournal. org/sayilar/60/buyuk/pdf_DIR_5801.pdf.
Malik, S., Gupta, S., Singh, S., Sharma, J., & Sen, R. (2016). Recurrent malignant phylloides tumor: a rare entity. J. Cytol. Histol., 7, 387. http://dx.doi.org/10.4172/2157-7099.1000387.
Somcutian, O., Buiga, R., Galatir, M., Tudor Eniu, D., Rachieru, C., Coza, D. et al. (2015). Histopathological diagnostic concordance in bone and soft tissue sarcomas between two comprehensive cancer centers from eastern and western Europe: a collaborative experience. Ann. Pathol., 35 (1), 32-40. http://dx.doi.org/10.1016/j.annpat.2014.11.002.
Painter, J.T., Clayton, N.P., & Herbert, R.A. (2010). Useful immunohistochemical markers of tumor differentiation. Toxicologic Pathology, 38, 131-141. doi: 10.1177/0192623309356449.
Sullivan, H.C., Edgar, M.A., Cohen, C., Kovach, C.K., Kim, K.H., & Reid, M.D. (2015). The utility of ERG, CD31 and CD34 in the cytological diagnosis of angiosarcoma: an analysis of 25 cases. J. Clin. Pathol., 68, 44-50. http://dx.doi.org/10.1136/jclinpath-2014-202629.
Miettinen, M., Wang, Z.F., Sarlomo-Rikala, M., Abdullaev, Z., Pack, S.D., & Fetsch, J.F. (2013). ERG Expression In epithelioid sarcoma – a diagnostic pitfall. Am. J. Surg. Pathol., 37 (10), 1580-1585. DOI:10.1097/PAS.0b013e31828de23a.
Noronha,Y., Raza, A., Hutchins, B., Chase, D., Garberoglio, C., Chu, P. et al. (2011). CD34, CD117, and Ki- 67
expression in phyllodes tumor of the breast: an immunohistochemical study of 33 cases. Int. J. Surg. Pathol., 19, 152-158. doi: 10.1177/1066896910382009.
Vilela, M.H., de Almeida, F.M., de Paula, G.M., Ribeiro, N.B., Cirqueira, M.B., Silva, A.L. et al. (2014). Utility of Ki-67, CD10, CD34, p53, CD117, and mast cell content in the differential diagnosis of cellular fibroadenomas and in the classification of phyllodes tumors of the breast. Int. J. Surg. Pathol., 22 (6), 485-491. DOI: 10.1177/1066896914521290.
Ginter, P.S., Shin, S.J., Liu, Y., Chen, Z., D'Alfonso, T.M., & Metrics, P.X. (2016). Phosphohistone H3 expression correlates with manual mitotic counts and aids in identification of “hot spots” in fibroepithelial tumors of the breast. Human Pathology, 49, 90-98. DOI: http://dx.doi.org/10.1016/j.humpath.2015.10.012.
Miranda, M.N., Zhang, S., Xu, S., Ruan, Q., Wang, G., & Duan, Y. (2016). Phyllodes tumor with myoepithelial phenotype: a case report. Int. J. Clin. Exp. Pathol., 9 (2), 2435-2442. http://www.ijcep.com/files/ijcep0018950.pdf.
Shponka, I.S., Bondarieva, V.O., & Antonovska, Ya.V. (2009). Osnovni ta dodatkovi imunohistokhimichni kryterii u dyferentsialnii diahnostytsi pukhlynnykh ta pukhlynopodibnykh protsesiv molochnoi zalozy [The basic and additional immunohistochemical criteria in differential diagnostics of tumors and tumorlike processes of mammary gland]. Morfolohiia–Morphology, III (2), 55-61 [in Ukrainian]. http://www.morphology.dp.ua/_pub/
MORPHO-2009-03-02/09sispmz.pdf.
Hussin, H., Pailoor, J., & Cheng, P.S. (2013). The role of CD10 Immunohistochemistry in the grading of phyllodes tumor of the breast. J. Int. Discipl. Histopathol., 1, 195-203. DOI: 10.5455/jihp.20130307011432.
Kumar, S., Ahmed, F., Agarwal, A., Sonkar, A., Gupta, S., & Singh, V.K. (2017). Diagnostic and prognostic role of stromal CD 10 and Ki 67 in benign and malignant phylloides tumor of breast. Int. J. Med. Health Sci., 6 (2), 85-89. http://www.ijmhs. net/journals-aid-381.html.
##submission.downloads##
##submission.additionalFiles##
Опубліковано
Як цитувати
Номер
Розділ
Ліцензія
Автори, які публікуються у цьому журналі, погоджуються з наступними умовами:
1. Автори залишають за собою право на авторство своєї роботи та передають журналу право першої публікації цієї роботи на умовах ліцензії Creative Commons Attribution License, котра дозволяє іншим особам вільно розповсюджувати опубліковану роботу з обов'язковим посиланням на авторів оригінальної роботи та першу публікацію роботи у цьому журналі.

2. Автори мають право укладати самостійні додаткові угоди щодо неексклюзивного розповсюдження роботи у тому вигляді, в якому вона була опублікована цим журналом (наприклад, розміщувати роботу в електронному сховищі установи або публікувати у складі монографії), за умови збереження посилання на першу публікацію роботи у цьому журналі.
3. Політика журналу дозволяє і заохочує розміщення авторами в мережі Інтернет (наприклад, у сховищах установ або на особистих веб-сайтах) рукопису роботи, як до подання цього рукопису до редакції, так і під час його редакційного опрацювання, оскільки це сприяє виникненню продуктивної наукової дискусії та позитивно позначається на оперативності та динаміці цитування опублікованої роботи (див. The Effect of Open Access).
##plugins.generic.dates.accepted## 2017-08-29
##plugins.generic.dates.published## 2017-10-04