STRUCTURAL CHANGES IN MUSCLES OF THE HIND LIMBS OF RATS WITH ACUTE ISCHEMIA (EXPERIMENTAL STUDY)
DOI:
https://doi.org/10.11603/2415-8798.2018.1.8690Keywords:
acute ischemia, muscle tissue, muscle fiber, microcirculation, reperfusion-ischemic syndrome.Abstract
Acute limb ischemia occurs as a result of obturation of the lumen of large arteries due to acute thrombosis or embolism, as well as impaired of vascular patency, caused by trauma or compression (including the use of hemostatic tourniquets). In case of elimination of the acute ischemia and restoration of arterial blood supply to the affected limb arises a multifactorial lesion of tissues both ischemic and distant from the site of damage, known as the reperfusion-ischemic syndrome.
The aim of the study – to establish the manifestations of structural changes in muscle fibers and the microcirculatory bed of the skeletal muscles of the hind limbs of rats in case of acute ischemia caused by the application of an arterial tourniquet.
Materials and Methods. The histological and morphometric study the tissues of the four-head muscles of the hind limbs of 60 rats under condition of experimental acute ischemia was performed. There were 11 intact animals in the control group. Acute ischemia was caused by application of SWAT (Stretch–Wrap–And–Tuck) rubber bands on the hind limbs of animals, 5–6 mm width, at the inguinal fold level within 2 hours under thiopental anesthesia. During the experiment, all the animals were divided into 5 study groups of 12 rats in each group. The model of the early postischemic period was represented by groups of animals with reperfusion changes on the 1st, 2nd hour and 1st day after removal of the tourniquet, and model of the late postischemic period on the 7th and 14th days respectively. The histological examination was carried out according to standard methods. The surface layers of the four-headed muscle of the hind limb of rats were studied in the middle third of the thigh below the overlapping area of tourniquet. Morphometric examination was determined by the following parameters: the mean diameter of muscle fibers, the mean cross-sectional area of muscle fibers, the average diameter and the area of nuclei of muscle fibers. Quantitative indicators were processed statistically.
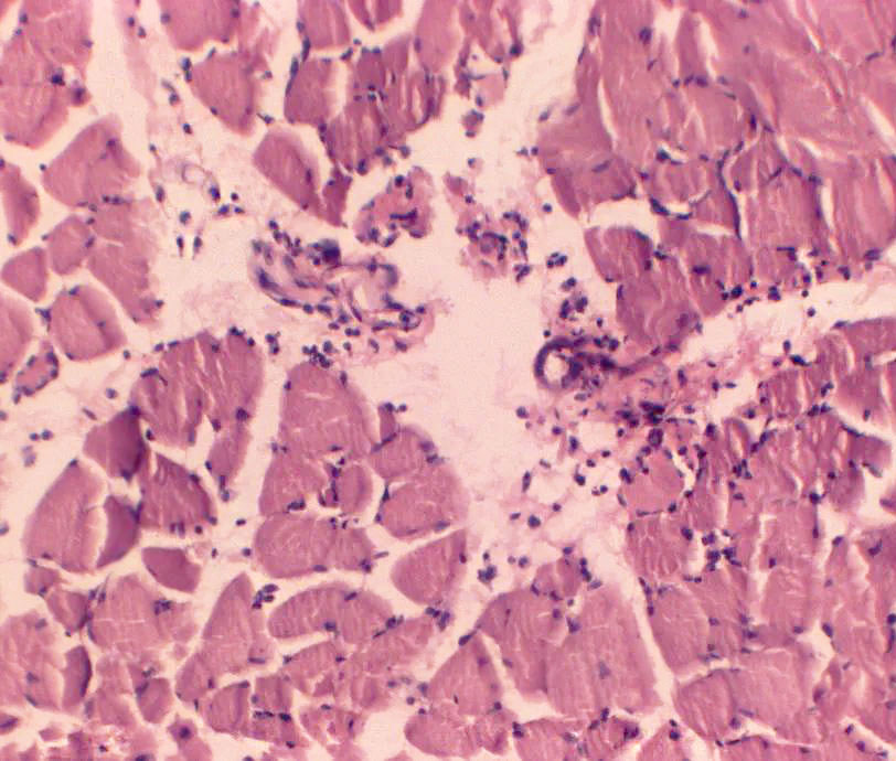
Results and Discussion. All-round analysis of the obtained data revealed that the pathological changes in muscle tissue were aroused in the early period of the postischemic lesions and increased to the end of the 1st day. Histological examination revealed the following changes in the muscle tissue: disorganization of the structural components of the muscle cells, reduction of the striation, friability, fluffiness and rupture of the muscle fibers, violation of their sinuosity, nonlinear arrangement of the nuclei, appearance of the detached necrotic regions and location of the nuclei in the intercellular space. The most significant edema of the muscle tissue occurred on the 1st day in the third group of rats ((41.73±0.39) μm). The average diameter of the muscle fibers in this group was exceeded by 3.37 % the corresponding index ((40.37±0.54) μm) of the control group (P˂0.05). The average area of the nuclei of the muscle fibers ((64.03±0.08) μm) in the third group was only slightly higher than the corresponding value ((63.95±0.07) μm) of the control group (P<0.05). The detected decreasing in the nuclearytoplasmic ratio in the second (0.047±0.001) and the third (0.047±0.001) groups of rats compared with the corresponding indicator of the control group (0.050±0.001) (p˂0.05) may indicate the decreasing in the cellular nuclear activity in the result of ischemic injury.
Conclusions. The results of remodeling of the muscle fibers and the blood vessels of the microcirculatory bed confirm the development of ischemic-reperfusion syndrome in experimental animals. In study of the skeletal muscles of the hind limbs of the white rats after acute ischemia caused by the application of the tourniquet, it was found that the remodeling of the muscle fibers was mainly manifested by edema, homogenization of sarcoplasm, violation of linear arrangement of nuclei in the myocytes and leukocyte infiltration of endoand perimizia, myolysis with the destruction of the sarcolemma and the release of nuclei into the intercellular space. The reactive lesions were developed in the microvessels of all segments and maximally expressed by the end of the 1st day.
References
Pokrovskij, A.V. & Bokerija, L.A. (2013). Nacionalnye rekomendacii po vedeniyu pacientov s zabolevaniyami arteriy nizhnih konechnostey. Posibnyk [National guidelines for the management of patients with diseases of the lower limb arteries. Manual.]. M., p. 67 [in Russian].
Gubka, V.O. (2015). Rezultaty likuvannia khvorych iz hostroiu arterialnoiu ischemiieiu kintsivok [Results of treatment of patients with acute arterial limb ischemia]. Patologia – Patalogy, 2, (34), 55-58 [in Ukrainian].
Gavrilenko, A.V., Dementieva, I.I. & Maitesian, D.A. (2002). Reperfuzionnyy sindrom u bolnyh s hronicheskoy ishemiyey nizhnih konechnostyei [Reperfusion syndrome in patients with chronic ischemia of lower extremities]. Angiologiya i sosudistaya hirurgiya – Angiology and Vascular Surgery, 3, 90-95 [in Russian].
Gavrilenko, A.V. (2003). Sostoyanie mikrocirkulyacii pri reperfuzionnom sindrome posle rekonstruktivnyh operaciy na sosudah nizhnih konechnostey [The state of microcirculation in reperfusion syndrome after reconstructive operations on the vessels of the lower extremities]. Hirurgiya – Surgery, 2, 62 [in Russian].
Shor, N.A., Pronin, I.V. & Dobrianskii, V.I. (2007). Nablyudenie ostroy arterialnoy neprohodimosti nizhney konechnosti, obuslovlennoy rassloeniem stenki aorty [Observation of acute arterial obstruction of the lower extremity due to aortic wall stratification]. Klinicheskaya hirurgiya – Clinical Surgery, 9, 56-58 [in Russian].
Sagach, V.F., Kacharovskii, V.S. & Gorbovets, V.S. (2008). Vidkryvannia mitokhondrialnoi pory za umov oksydatyvnoho stresu pry ischemii-reperfuzii tkanyn stehna [Opening of the mitochondrial pore under the conditions of oxidative stress in ischemia-reperfusion of the thigh tissues]. Fiziologichnyi zhurnal – Physiological journal, 54, (3), 47-51 [in Ukrainian].
Polushin, Yu.S., Shah, V.M. & Teplov, V.M. (2013). Farmakologicheskaya profilaktika reperfuzionnogo sindroma u postradavshih s tyazhelymi sochetannymi travmami soprovozhdayushhimisya shokom [Pharmacological prophylaxis of reperfusion syndrome in patients with severe combination injuries accompanied by shock]. Vestnik hirurgii imeni I. I. Grekova – I. I. Grekov Journal of Surgery, 172, (5), 41-45 [in Russian].
Fitzgibbons, P.G. Digiovanni, C. & Hares, S. (2012). Safe tourniquet use : a review of the evidence. J. Am. Acad. Orthop. Surg., 20, 310-319.
Drew, B., Bennett, B. & Littlejohn, L. (2015). Application of Current Hemorrhage Control Techniquesfor Backcountry Care: Part One, Tourniquets and Hemorrhage Control Adjuncts. Wilderness and Environmental Medicine, 26, 236-245.
Osmanova, A.A. (2010). Dinamika mikrocirkuljatornogo rusla pri kompressionnoy travme myagkih tkaney konechnostey i korrekcii infuziey perftorana [Dynamics of microcirculatory channel during compression trauma of soft tissues of extremities and correction by perfusion of perftoran]. Extended abstract of candidate’s thesis, Machachkala [in Russian].
Grebenchikov, О.А., Dihvancev, V.V. & Plotnikov, Е.Yu. (2014). Molekulyarnye mehanizmy razvitiya i adresnaya terapiya sindroma ishemii-reperfuzii [Molecular mechanisms of development and address therapy of ischemia-reperfusion syndrome]. Aktualnye voprosy anesteziologii i reanimatologii – Actual questions of anesthesiology and reanimatology, 3, 59-67 [in Russian].
Blaisdell, F.W. (2002). The pathophysiology of skeletal musculeishemia and the reperfusion syndrome: a rewiew. Cardiovasc. Surg., 10, 620-630.
Merkulov, G.A. (1969). Kurs patologogistologicheskoj tehniki [Course of pathologyhistological technique]. M. : Medicina [in Russian].
Downloads
Additional Files
Published
How to Cite
Issue
Section
License
Authors who sent their manuscript to "Вісник наукових досліджень. Bulletin of Scientific Research" Surgery agree to the following terms:
a. Authors retain copyright and grant the journal right of first publication with the work simultaneously licensed under a Creative Commons Attribution License that allows others to share the work with an acknowledgment of the work's authorship and initial publication in this journal.
b. Authors are able to enter into separate, additional contractual arrangements for the non-exclusive distribution of the journal's published version of the work (e.g., post it to an institutional repository or publish it in a book), with an acknowledgment of its initial publication in this journal.
c. Authors are permitted and encouraged to post their work online (e.g., in institutional repositories or on their website) prior to and during the submission process, as it can lead to productive exchanges, as well as earlier and greater citation of published work (See The Effect of Open Access)