ЛЕЙОМІОСАРКОМА МАТКИ (ВИПАДОК ІЗ ПРАКТИКИ)

Автор(и)

  • Ya. Ya. Bodnar ДВНЗ "Тернопільський державний медичний університет ім. І.Я. Горбачевського МОЗ України"
  • Yu. M. Orel ДВНЗ "Тернопільський державний медичний університет ім. І.Я. Горбачевського МОЗ України"
  • P. S. Krizhan Борщівська центральна районна комунальна лікарня, м. Борщів, Тернопільська обл.
  • L. P. Bodnar ДВНЗ "Тернопільський державний медичний університет ім. І.Я. Горбачевського МОЗ України"

DOI:

https://doi.org/10.11603/1811-2471.2017.v1.i3.7788

Ключові слова:

лейоміосаркома, матка, гістологічна діагностика.

Анотація

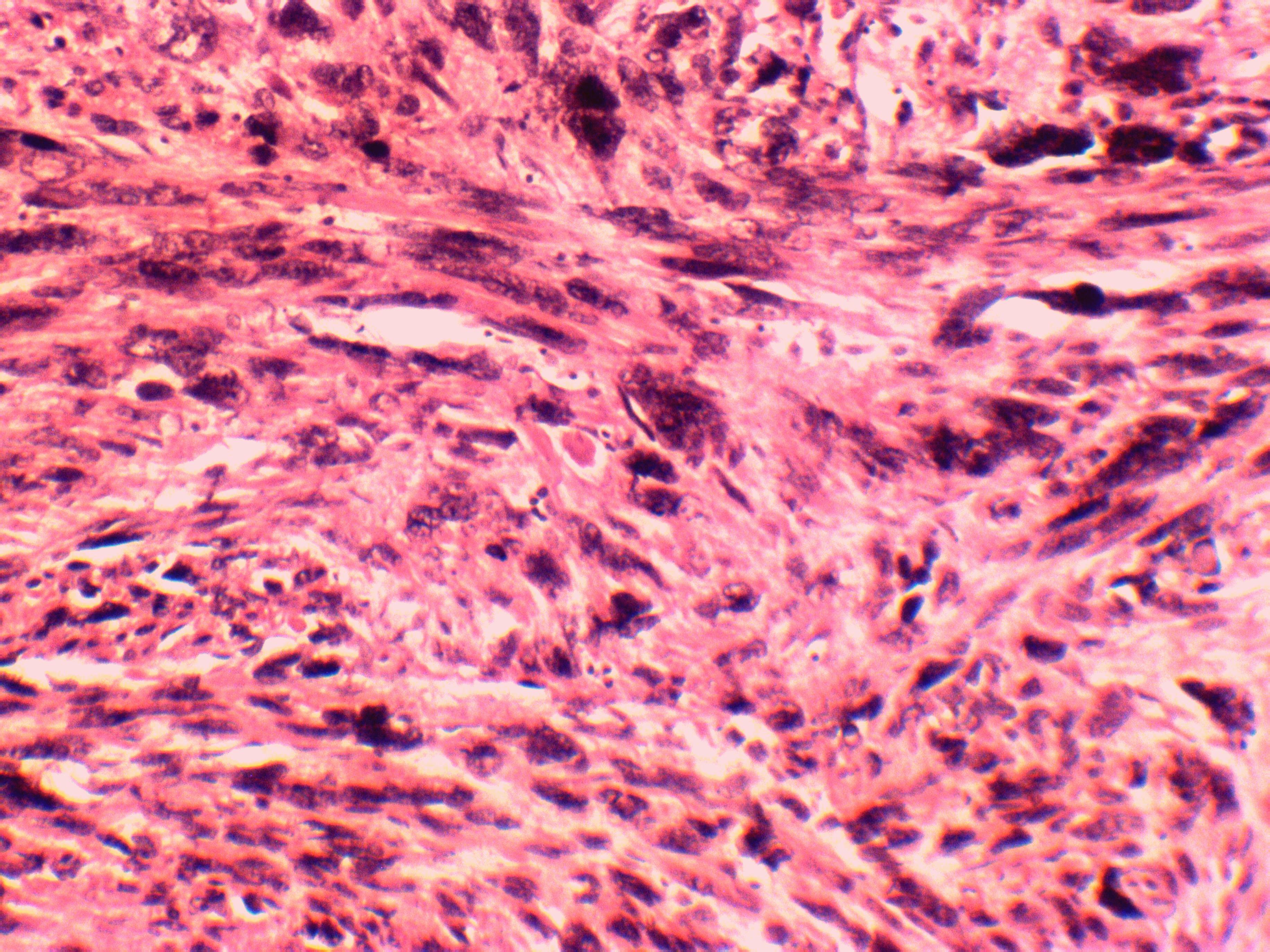
Резюме. Серед злоякісних пухлин матки лейоміосаркома зустрічається в 1-1,3 % випадків. Найчастіше цю пухлину виявляють при дослідженні операційного матеріалу, тому саме гістологічне дослідження є основним методом діагностики лейоміосаркоми матки. При цьому часто виникають труднощі у диференціації цієї пухлини та її доброякісного аналога – лейоміоми. У публікації описаний випадок лейоміосаркоми матки у жінки віком 51 р. Детально репрезентовані анамнестичні та клінічні дані, описано динаміку розвитку захворювання. Основну увагу зосереджено на критеріях мікроскопічної діагностики лейоміосаркоми матки. Так, при гістологічному дослідженні операційного матеріалу виявлено суттєві прояви ремоделювання гладких м’язів міометрію. Ядра міоцитів мали ознаки виродливості, набували великих розмірів, ставали гіперхромними, що є індикатором дистрофічних процесів внаслідок невідповідності між кровопостачанням і проліферацією клітин у злоякісній пухлині. Поліморфізм ядер спостерігався дифузно, а не осередково. Окрім того візуалізувалися патологічні мітози, некрози, крововиливи. Описаний випадок із практики акцентує увагу патоморфологів на труднощах гістологічної верифікації лейоміосаркоми і міоми матки.

Посилання

Holovyn, D.Y., (1982). Oshybky y trudnosty hystolohycheskoy diahnostyky opukholey: (rukovodstvo dlya vrachey) [Errors and difficulties of histological diagnosis of tumors: (guide for doctors)]. Medytsyna – Medicine, 304 [in Russian].

Saparhalyeva, A.D. (2016). Sluchay leyomyosarkomy v leyomyome v praktyke patolohoanatoma s kratkym obzorom sovremennoy lyteratury [The case of leiomyosarcoma in a leiomyoma in the practice of a pathologist with a brief review of modern literature]. Medicine (Almaty), 35 (167), 19–24. [in Russian].

Frank, H.A. (2004). Problemy morfolohycheskoy klassyfykatsyy y dyahnostyky opukholey myahkykh tkaney [Problems of morphological classification and diagnostics of soft tissue tumors]. Praktycheskaya onkolohyya – Practical oncology, 5(4), 231–236. [in Russian].

Bodurka, D.C., Gershenson, D.M., Pollock, R.E., ed. (2002). Sarcomas of the female reproductive tract. American Cancer Society Atlas of Clinical Oncology. Soft Tissue Sarcomas. – Hamilton, Ontario: BC Decker, 213–227.

Dinh, T.A., Oliva, E.A., Fuller, A.F., Goodman, A. (2004). The treatment of uterine leiomyosarcoma. Result from a 10–year experience (1990 – 1999) at the Massachusetts General Hospital. Gynecology Oncology, 92(2), 648–652.

Giuntoli, R.L., Metzinger, D.S., DiMarco, C.S., Cha, S.S., Sloan Keeney, J.A., Goustaut, B.S. (2003). Retrospective review of 208 patients with leiomyosarcoma of the uterus: prognostic indicators, surgical management, and adjuvant therapy. Gynecology oncology, 89 (3), 460 – 469.

Ghaemmaghami, F., Zarchi, M.K., Gilani, M.M., Mousavi, A., Behtash, N., Chasemi, M. (2008). Uterine sarcoma: clinic-pathological characteristics, treatment and outcome in Iran. Asian pacific J. cancer prev., 9, 421–426.

Harry, V.N., Narayansingh, G.V., Parkin, D.E. (2007). Uterine leiomyosarcomas: a review of the diagnostic and therapeutic pitfalls. Obstet. and. Gynecology., 9, 88–94.

Silva, E.C., Bodurka, D.C., Scouros, M.A., Ayala, A.A. (2005). Uterine leiomyosarcoma that became positive for HMB 45 in the metastasis. Ann. Diagn. Pathology., 1, 43–45.

##submission.downloads##

##submission.additionalFiles##

Опубліковано

2017-11-02

Як цитувати

Bodnar, Y. Y., Orel, Y. M., Krizhan, P. S., & Bodnar, L. P. (2017). ЛЕЙОМІОСАРКОМА МАТКИ (ВИПАДОК ІЗ ПРАКТИКИ). Здобутки клінічної і експериментальної медицини, 1(3). https://doi.org/10.11603/1811-2471.2017.v1.i3.7788

Номер

Розділ

Оригінальні дослідження
##plugins.generic.dates.received## 2017-05-13
##plugins.generic.dates.accepted## 2017-08-14
##plugins.generic.dates.published## 2017-11-02